Skip to content Skip to sidebar Skip to footer

38 parts of the body labels

PARTS of the BODY Labels - Labelled diagram - Wordwall Drag and drop the pins to their correct place on the image.. BODY, HEAD, NECK, ARM, LEG, HAND, FOOT, FINGERS, TOES. Label the Parts of the Human Body: | Body systems worksheets, Human ... Label the Parts of the Body System | These human body worksheets for kids help children to identify 12 major body systems (e.g., circulatory system, respiratory system) and the important organs and parts in each system. | Human Body worksheets for kids | #humanbody #printable #giftofcuriosity || Gift of Curiosity

Parts Of The Body Label Worksheets & Teaching Resources | TpT Parts of the Body Adapted Work Binder: Identify, Label & Match- Differentiated! by Empower CurtisEE 1 $11.00 Zip The Parts of the Body Adapted Work Binder can be used in the early learning, special education, life skills or low incidence special education setting to practice identifying and matching the parts of the body.

Parts of the body labels

Parts of the body labels

Label the Parts of the Body System - Gift of Curiosity There are a total of 12 worksheets in this download, featuring parts from the following body systems: circulatory system digestive system endocrine system lymphatic system muscular system nervous system respiratory system skeletal system urinary system integumentary system male reproductive system female reproductive system Label the Body Parts | Worksheet | Education.com Use this handy worksheet to help your little learner hone early reading and writing skills as they review and label parts of the body. Perfect for kindergartners or any young child who could benefit from extra reading and word recognition practice, this worksheet asks students to cut out words and match them to the correct body parts. Anatomy and Physiology Body Parts and Labels Flashcards - Quizlet Acrominal point of shoulder Antebrachial forearm Antecubital anterior surface of the elbow Axillary Armpit Brachial arm Buccal cheek Carpal wrist Cephalic head Cervical neck region Coxal hip Crural leg Digital fingers or toes Femoral thigh Fibular (personeal) side of the leg Frontal Forehead Hallux great toe Inguial groin Mammery breast Manus hand

Parts of the body labels. Free Printable Body Parts Worksheets - kiddoworksheets These worksheets helps your child learn about the body with a body parts of Human, Birds, Fish, Animals, Domestic Animals, Sea Animals, Sea Birds and more… Body Parts Body Parts of Human 4236 5008 0 Body Parts Body Parts of Bee 342 289 0 Body Parts Body Parts of Bird 521 258 0 Body Parts Body Parts of Crab 277 173 0 Body Parts Body Parts of Dog List Of Human Body Parts Names | Science Trends Some of the main parts of the skeletal system are: Skull Vertebrae (spine) Scapula (shoulder blades) Ribs Humerus Ulna Radius Pelvis Carpals/Metacarpals (hand bones) Femur Patella (kneecap) Tibia (front of the shin) Fibia Tarsals/Metatarsals (foot bones) Digestive System Free Printable Parts Of The Body Activity Pack This has a front side and back side with labels for all of it. The next page shows a girl and a few of the body parts including leg, arm, face, etc. The purpose of this activity is to have a child draw a line to the correct part of the body from the label. This next page asks children to write down how many of the specific body part they have. Parts of the body - Label | Worksheet Zone Parts of the body - Label | Worksheet Zone . Language: English. Age: 5 - 7. Grade: Kindergarten - Grade 2. Looking for a fun way to teach and reinforce learning about parts of the body? This fun collection will be exactly what you are looking for! ... TuyenNguyen9195. PDF. Parts of the body 2. 79. by. TuyenNguyen9195. PDF. Parts of the face. 78 ...

Body Regions Labeling - The Biology Corner Label the Regions of the Body - Anterior Side Descriptions The cranial region or cephalic region is the head and the skull The forehead is referred to as the frontal region. The eyes are referred to as the orbital or ocular region. The cheeks are referred to as the buccal region. The ears are referred to as the auricle or otic region. Body Parts List - Bodytomy It consists of salivary glands, esophagus, stomach, liver, gallbladder, pancreas, intestines, rectum, and anus. Endocannabinoid System: Consists of neuromodulatory lipids and receptors which help in a variety of physiological processes including appetite, pain-sensation, mood, motor learning, synaptic plasticity, and memory. 33 label body parts worksheet label ideas 2021 - label the body parts ... If you are looking for 33 label body parts worksheet label ideas 2021 you've came to the right page. We have 15 Pictures about 33 label body parts worksheet label ideas 2021 like 33 label body parts worksheet label ideas 2021, label the body parts worksheet 4 turtle diary and also 4 body parts worksheets template. Here it is: Label Parts Of Body In Spanish Teaching Resources | TpT This set contains all of the basic body parts taught in level 1 Spanish in two formats: 1. Picture notes with word labels in an easy to follow study guide, which can be used to introduce the vocabulary, review pronunciation, prepare the students for an exam, or cut into flash cards for study purposes; and 2. Pictur.

Labeling Parts Of The Body Organs Teaching Resources | TpT The Body Test. by. Jessica Cardwell. 1. $2.50. PDF. This body test is comprised of matching the organ to the body system, true/false with statements referencing the heart and the lungs, labeling and matching the 3 main parts of the brain, and ordering the 4 steps of the digestive system. Subjects: Parts of body - Label worksheet - Liveworksheets.com Parts of body - LabelParts of body labelling. ID: 287347. Language: English. School subject: English as a Second Language (ESL) Grade/level: Grade 2. Age: 3-8. Main content: Parts of the body. Other contents: Body parts. Add to my workbooks (2) Parts of the body - Label 2 | Worksheet Zone Parts of the body - Label 2 | Worksheet Zone . Language: English. Age: 5 - 7. Grade: Kindergarten - Grade 2. Looking for a fun way to teach and reinforce learning about parts of the body? This fun collection will be exactly what you are looking for! ... TuyenNguyen9195. PDF. Parts of the body 2. 79. by. TuyenNguyen9195. PDF. Parts of the face ... Anatomy and Physiology Body Parts and Labels Flashcards - Quizlet Acrominal point of shoulder Antebrachial forearm Antecubital anterior surface of the elbow Axillary Armpit Brachial arm Buccal cheek Carpal wrist Cephalic head Cervical neck region Coxal hip Crural leg Digital fingers or toes Femoral thigh Fibular (personeal) side of the leg Frontal Forehead Hallux great toe Inguial groin Mammery breast Manus hand

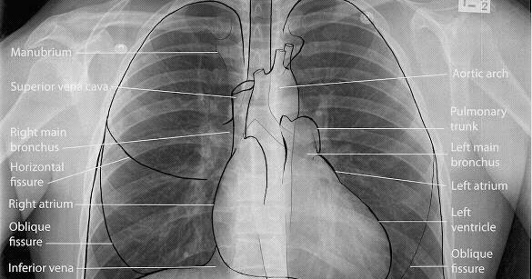
Medical Addicts: Chest X-Ray: Normal PA view

Medical Addicts: Chest X-Ray: Normal PA view

Label the Body Parts | Worksheet | Education.com Use this handy worksheet to help your little learner hone early reading and writing skills as they review and label parts of the body. Perfect for kindergartners or any young child who could benefit from extra reading and word recognition practice, this worksheet asks students to cut out words and match them to the correct body parts.

Ford 8.8 Axle Swap Kit ('87-'95 YJ) – M.O.R.E.

Ford 8.8 Axle Swap Kit ('87-'95 YJ) – M.O.R.E.

Label the Parts of the Body System - Gift of Curiosity There are a total of 12 worksheets in this download, featuring parts from the following body systems: circulatory system digestive system endocrine system lymphatic system muscular system nervous system respiratory system skeletal system urinary system integumentary system male reproductive system female reproductive system

3D tattoos: dark-art biomechanical tattoos | TATTOO DESIGNS

3D tattoos: dark-art biomechanical tattoos | TATTOO DESIGNS

Pourquoi utiliser la technologie WordPress, le meilleur CMS

Pourquoi utiliser la technologie WordPress, le meilleur CMS

Parts of a Plant Labelling Worksheets

Parts of a Plant Labelling Worksheets

Tattoo-style cyberpunk

Tattoo-style cyberpunk

Digestive System - Learning by Picture & Chart -Kides - YouTube

Digestive System - Learning by Picture & Chart -Kides - YouTube

Montessori Human Body Printables body systems and organs 3 part cards

Montessori Human Body Printables body systems and organs 3 part cards

Best Mehndi Designs For Different Occasions: Karwa Chouth Exclusive ...

Best Mehndi Designs For Different Occasions: Karwa Chouth Exclusive ...

Post a Comment for "38 parts of the body labels"